У этих медиков нет собственных пациентов. Они не ездят на вызовы и не выписывают рецепты. Но каждый день спасают жизни челябинцев, подтверждая или снимая диагноз, поставленный другими врачами. По следам Международного дня патологоанатома сегодня рассказываем о редкой медицинской профессии, без которой нельзя представить современную медицину.
«Расхожее представление о людях нашей профессии сформировано фильмами. Многие видят патологоанатома взрослым мужчиной в потертом халатике, с бутербродами у секционного стола. Но в жизни все совершенно не так. На самом деле это очень интеллигентная профессия, которую в основном представляют хрупкие женщины», — говорит заведующая патолого-анатомическим отделением ГКБ № 1, врач-патологоанатом высшей категории Светлана Ермолаева.
В ее подчинении еще несколько женщин — докторов и лаборантов и двое мужчин-санитаров.

Много стереотипов и по сути работы патанатома — так коротко называют себя сами врачи. Работа с почившими пациентами, когда нужно дать точное заключение, от чего скончался больной, составляет десятую часть всех задач.
«Основной пласт работы — это прижизненная диагностика. Нам присылают образцы тканей, взятые из разных органов во время операций, а мы исследуем их в лаборатории», — рассказывает доктор.
В патолого-анатомическое отделение биоматериалы привозят в пробирках и флаконах, залитых формалином. Уже на месте лаборанты располагают фрагменты тканей на стеклышках, чтобы их можно было рассмотреть в микроскоп. После этого доктор изучает ткани через объектив, выносит вердикт о наличии или отсутствии патологии и описывает результаты исследования с лаборантом-гистологом.
За день в патотделении ГКБ № 1 описывают до 70 «стеклышек». Чтобы диагноз был верным, патанатом должен обладать очень большими знаниями, ведь каждый орган уникален. Работа тяжелая, но интересная.


Сложнее всего, признается наша собеседница, работать с онкологическим материалом. Особенно когда патологоанатом устанавливает этот диагноз первым, до предположений лечащего врача.
«У нас очень ответственная работа и нет права на ошибку. Хирург присылает нам новообразование, а наша задача — увидеть, доброе оно или злое, определить его гистотип, есть ли метастазы в лимфоузлах и сколько их. Все это нужно для определения тактики химиотерапии и для прогноза лечения», — говорит Светлана Ермолаева.
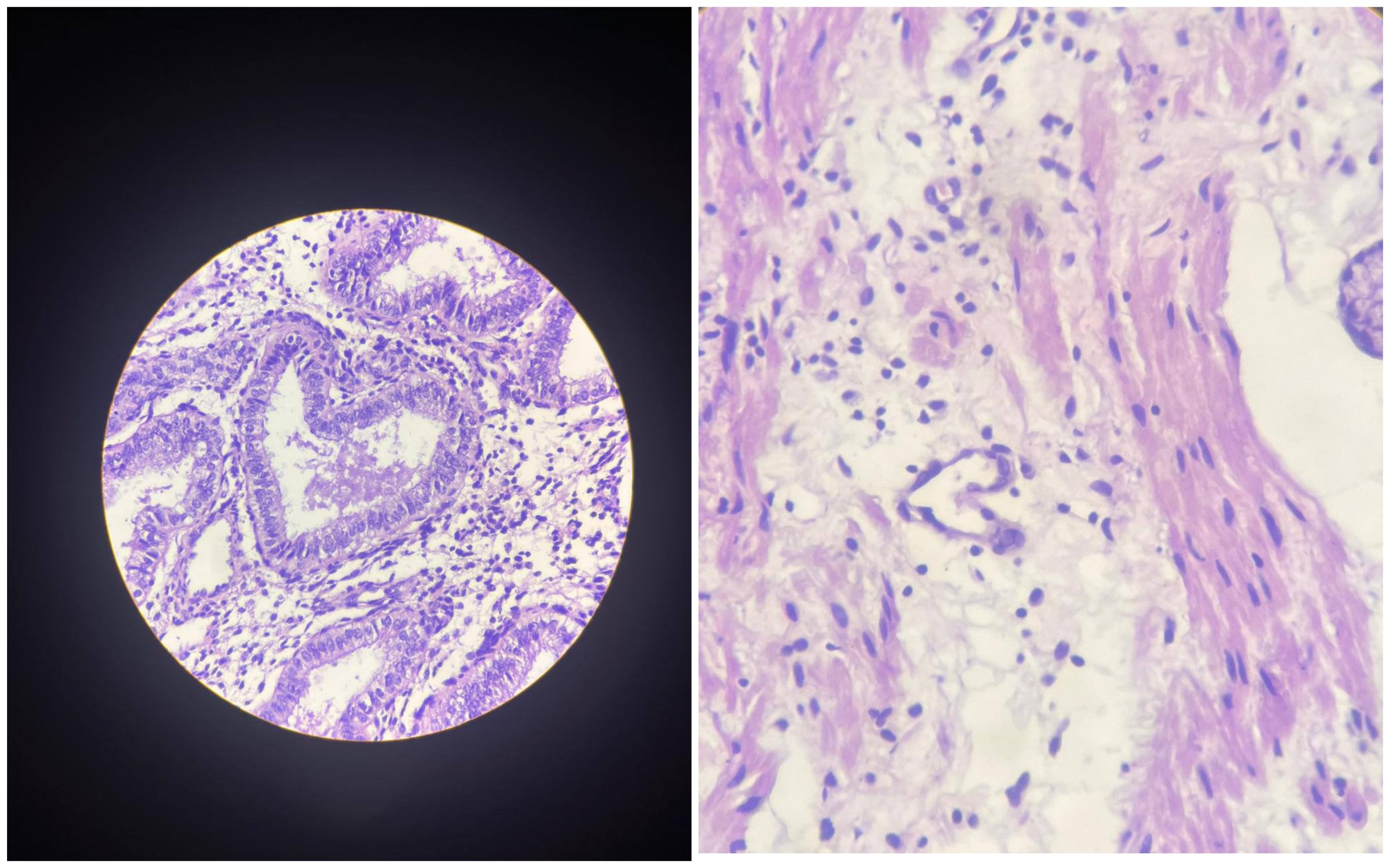
Именно раковые клетки, по словам доктора, выглядят под микроскопом безобразнее других. А здоровые клетки иногда создают причудливые узоры в виде сердечек или цветов.
Например, на этом фото железы эндометрия образовали сердце.
«Волей-неволей ты реагируешь на красоту, созданную природой», — замечает доктор.
Поступая в медвуз, Светлана Ермолаева мечтала работать реаниматологом. Еще студенткой устроилась в реанимацию экстренной хирургии, но, проработав там несколько лет медсестрой, поняла, что видеть смерть тяжело эмоционально. Тяжело видеть, как уходят люди.
«В патотделении смерть — свершившийся факт. И работа с почившими просто работа. Ты принимаешь ее, и все. К тому же она важна для живущих. На вскрытии присутствуют лечащие врачи. Это необходимо для понимания, все ли правильно было сделано», — говорит Светлана Ермолаева.
Патологоанатом — специальность дефицитная, таких медиков всегда не хватает. За 12 лет в профессии Светлана Ермолаева ни дня не жалела о своем выборе, ведь ее профессия не про смерть, а про жизнь.
Материал создан ИА «Первое областное»